专题 肺癌治疗过程中常见问题分类汇总
-
NCCN非小细胞肺癌临床实践指南2021.V5 中英文版
NCCN非小 细胞治疗指南2021年版本,中文版为2021-v1;2021.V5版本为最新版本,其中更新了靶向治疗的最新进展,有中文件翻译,通过电脑访问可直接下载!手机不显示!手机…
-
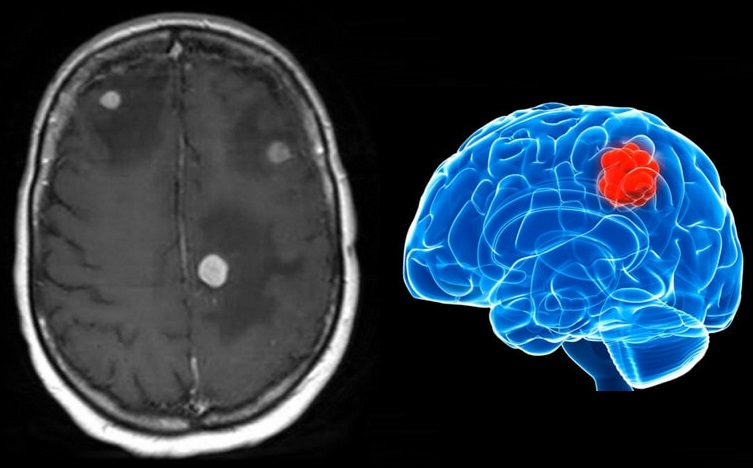
【视频】脑转移瘤治疗概述,脑转移应该选哪种方案进行治疗?
肺癌是全世界肿瘤中发病率和死亡率最高的恶性肿瘤,其中肺癌的脑转移会严重影响肺癌患者的预后及生存期,导致死亡率高于非脑转移患者。 在肺癌中最常见的病理类型是非小细胞肺癌(Non-sm…
-
它来了,肺癌的早期筛查权威指南,给健康的你…
大B是一名Environment Science的研究生,准备出国继续深造。在此之前他准备趁国庆的长假回一趟家,看望一下家里人,毕竟这一出国,一年到头就很少有机会和家人待在一起了。…
-
新鲜出炉,中国肺癌筛查与早诊早治指南(2021,北京)
本文仅支持电脑阅读,不支持手机的哟,若要查看详细信息请使用电脑阅览!
-
非小细胞肺Ca(NSCLC)免疫治疗,你应该了解这些…
近年来,免疫检查点抑制剂为代表的免疫治疗显著改善了晚期肺癌的生存状况,改变了肺癌的治疗模式。随着免疫检查点抑制剂(immune checkpoint inhibitors,ICIs…
-
注射胸腺法新自行注射操作手册(1ml注射器)
本视频详细讲解自己打胸腺法新如何操作(肚皮),一般自己给自己注射以打肚皮为主,注射范围在肚脐一拳范围之外附近,一般在肚脐一周3cm左右,进针以45度角度,注意是打皮下!不是肌肉注射…
-
如何应对靶向治疗中的皮疹
如何应对靶向治疗中的皮疹 肺癌是全球癌症发病率最高的癌种,每年有180多万人被诊断为肺癌,有160多万人死于肺癌。据2019年统计数据来看,中国每年的肺癌新发人数为78.7万人,死…
-
Targeted Therapies for Lung Cancer
Today, there is a more personalized approach to treating non-small cell lung cancer (NSCLC…


